- FDA finalizes rule that should usher in cheaper hearing aids
- A virus almost forgotten reappears
- Overlapping emergencies strain the nation's public health workforce and threaten critical vaccination campaigns
- Monkeypox cancels LGBTQ event, but what is the risk?
| |
| 'Help is on the way': FDA finalizes rule that should usher in cheaper hearing aids | Hearing aids should get cheaper and possibly even better due to a long-awaited rule change the US Food and Drug Administration announced last week. Instead of getting a prescription, visiting a hearing health professional and having a custom fitting, people with mild to moderate hearing loss will be able to buy hearing aids directly from a store or online. About 1 in 8 people in the United States age 12 and older has hearing loss in both ears, and the rate increases significantly with age. About a quarter of people 65 to 74 have hearing loss, and that goes up to about half around age 75. But only about 16% of the tens of millions of people with hearing loss use a hearing aid. The new devices won't be free, but the FDA estimates that the new rule could mean savings of about $2,800 a pair. And people could see over-the-counter hearing aids on the market as early as October, the agency said. "Today's action will not only help adults who have perceived mild to moderate hearing loss gain access to more affordable an innovative production options, but we expect that it will unleash the power of American industry to improve the technology in a way that it will impact the enormous burden of disability from hearing loss affecting the world," FDA Commissioner Dr. Robert Califf said. | |
| Sponsor Content by CompareCards | |
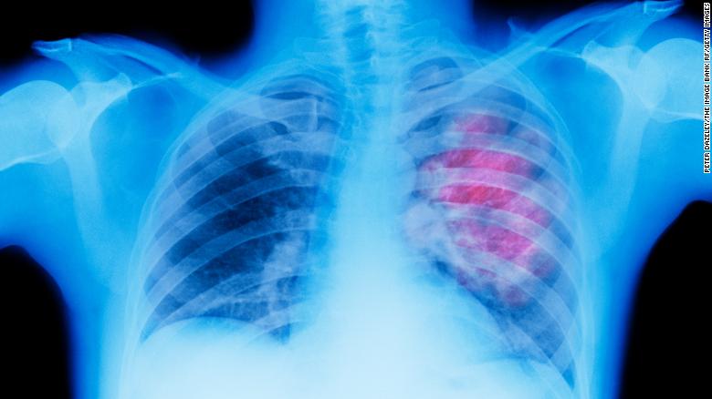
| A virus almost forgotten reappears | Last month, after a single case of paralytic polio was announced in a Rockland County, New York, resident, wastewater samples in both Rockland and neighboring Orange counties detected samples of the virus in the water. Now, New York City has also announced that poliovirus has been detected in wastewater, suggesting likely local circulation of the virus. Most people in the US are protected from polio because of vaccination. The primary series of three vaccines provides 99% protection. However, unvaccinated and undervaccinated people are vulnerable. The CDC has sent a team of disease detectives to Rockland County to investigate the case and assist with vaccination. A community health leader who has met with the team told CNN that the investigators are "quite nervous" that polio "could mushroom out of control very quickly and we could have a crisis on our hands." Prior to the invention of the vaccine, polio was considered "one of the most feared diseases in the United States," according to the CDC. In the 1940s, it disabled an average of more than 35,000 people a year in the US. Once the polio vaccine became available in 1955, case numbers dropped significantly. The last case in the US was reported nearly a decade ago. And because it has become so rare, few have any experience with it. CNN's Andrea Kane wrote a touching essay about her own mother's polio and how it forever shaped both her mother's life and Andrea's as well. It's a reminder also of how devastating polio virus can truly be and why vaccination is so important. | |
| Overlapping emergencies strain the nation's public health workforce | This fall, the health of the nation will depend in large part on vaccines. Health officials are banking on vaccinations to contain monkeypox and polio before those become standing threats in the United States. They're counting on updated boosters to restore waning immunity against Covid-19. With influenza expected back in the US this fall, flu shots could be critical to prevent severe illness and keep hospitals from becoming overwhelmed. But so much of this will rely on our nation's public health infrastructure. After almost three years of contending with vaccine hesitancy, politics and a global pandemic, the nation's public health workers are frayed and leaving their posts. More than 1 in 4 health department leaders quit their jobs during the pandemic, some after harassment and death threats. Now, these depleted agencies are being asked to tackle new threats like monkeypox without additional funding to handle them. Public experts are worried that they won't be able to pull it off. A recent study by The de Beaumont Foundation, a nonprofit that works to strengthen public health, found the public health system needs 80,000 more full-time staff -- a whopping 80% increase over current staffing levels -- to provide basic community services, like monitoring and controlling the spread of infectious diseases. Brian Castrucci, president and CEO of the organization, says America won't be able to restore its public health workforce until people value and respect the work they do. "What we've seen during Covid is a fringe anti-vax movement move more mainstream, endangering our nation's safety, security and economic prosperity," Castrucci said. "It's going to be harder and harder to vaccinate." "We are privileged as a society that we haven't seen children in with crutches from polio. No one's in an iron lung. And it has made us somewhat numb to the potential of what could really happen," he said. "These are virulent diseases." | | | Monkeypox cancels LGBTQ event, but what is the risk? | At first it was Covid. Now it's monkeypox. Organizers of a free concert at an upcoming LGBTQ festival known as Southern Decadence in New Orleans have canceled the concert due to the threat of monkeypox. The larger six-day festival in early September will continue as planned, as it always has since 1973, with the exception of when there were hurricanes and the first two years of the Covid-19 pandemic. The event typically attracts about 250,000 people. But organizers of the concert thought that with the rise in monkeypox cases, particularly among gay, bisexual, transgender, nonbinary, and men who have sex with men, it wasn't worth the risk. Monkeypox is spread through close skin to skin contact. While not a sexually transmitted disease, the majority of cases in this particular outbreak in the US have been through sexual contact, skin to skin, according to the CDC. Concert organizer Chuck Robinson described the outdoor event as "hot, sweaty, people gathered in a street for blocks 21 deep, people have their shirts off. They're shoulder to shoulder dancing, as they should [to] celebrate a lifestyle through music and the concert, that is wonderful – but danger for monkeypox." Organizers of the festival said they are working closely with the Louisiana Department of Health. The New Orleans Health Department has hosted vaccine pop-up clinics near nightclubs and other venues. The Biden administration also announced last week they are boosting the vaccine supply with an additional 1.8 million doses of the Jynneos monkeypox vaccine and making vaccines more accessible by engaging with at-risk communities at large events attracting LGBTQ communities. When it comes to deciding about attending large events, Dr. David Hamer, the interim director for the US Center for Emerging Infectious Disease Policy & Research at Boston University said it's important to keep in mind how this outbreak has been spreading. "Based on what I'm seeing, though, 95 to 98% of the cases are through close sexual contact, skin to skin, as opposed to in a public setting," Hamer said, and added "I think the risk is much much lower (at a concert)." But it is not "no risk" to attend such an event. Hamer points to a study that came out from researchers at Stanford University that focuses on a man in the UK who said he noticed his first monkeypox lesion two weeks after attending a "large, crowded outdoor event at which he had close contact with others, including close dancing, for a few hours," according to the researchers. His primary risk factor was "close, nonsexual contact with numerous unknown persons at a crowded outdoor event," the researchers wrote. He was clothed at the event. "If this is to be believed, I think organizers though are going to need to take this into account in their planning," Hamer said. | |
| | Coming home to your pup can be one of the warmest moments of your day - and also for your pet! A new study finds dogs' eyes well up with tears of joy when reunited with their owners. |
|
| In 2020, cancer was the second leading cause of death, after heart disease, in the United States. A new study finds that nearly half of all cancer deaths worldwide can be attributed to preventable risk factors, including the three leading risks: smoking, drinking too much alcohol, or having a high body mass index. Published in the Lancet last week, the study finds in 2019 that 44% of all cancer deaths and 42% of the healthy years lost from cancer are related to these kinds of risks. Researchers from the Institute for Health Metrics and Evaluation at the University of Washington, zeroed in on cancer deaths and disability from 2010 to 2019 across 204 countries, examining 23 cancer types and 34 risk factors. The researchers found the leading cancers in terms of risk-attributable deaths globally in 2019 were tracheal, bronchus and lung cancer for both men and women. Also concerning: risk-attributable cancer deaths are on the rise, increasing worldwide by 20.4% from 2010 to 2019. The new study "clearly delineates" the importance of primary cancer prevention and "the increasing cancer numbers related to obesity clearly demands our attention," said Dr. William Dahut, chief scientific officer for the American Cancer Society, who was not involved in the new study. "Modifying behavior could lead to millions more lives saved, greatly overshadowing the impact of any drug ever approved," he added. "The continued impact of tobacco despite approximately 65 years of a linkage to cancer remains very problematic." It is definitely striking news, but I'm also optimistic because it is a trend that we can change. An accompanying editorial noted that many of these risk factors can be associated with poverty. "Poverty influences the environments in which people live, and those environments shape the lifestyle decisions that people are able to make. Action to prevent cancer requires concerted effort within and outside the health sector. This action includes specific policies focused on reducing exposure to cancer-causing risk factors, such as tobacco and alcohol use, and access to vaccinations that prevent cancer-causing infections, including hepatitis B and HPV," the editorial said. Some of the changes that need to happen are at an institutional level, but there are also actions we can take on ourselves. We can eat better and move more. We can work with our doctors to drink and smoke less. These steps can improve our own health, but the overall health of the world, too. | |
| | It's easy to forget that we are part of nature. But, we are living, breathing organisms. We are walking biomes. Listen and learn about the science of you and how we traverse the boundary between our bodies and the world around us. |
|
| CNN Health's The Results Are In with Dr. Sanjay Gupta shows up in your inbox every Tuesday.
Want to easily manage your newsletter subscriptions? Create your account. Like what you see? Don't like what you see? Let us know.
Did a friend forward you this newsletter? Sign yourself up! |
|
| |
Comments
Post a Comment